As a specialist in the health of your gums and the bone supporting your teeth, I often see patients with varying stages of periodontal disease—commonly known as gum disease. It’s a condition that affects millions of people, but many are unaware of its severity. My goal is to help you understand the stages of this disease and how we can work together to protect your oral and overall health.
Think of periodontal disease as a journey, and the sooner we intervene, the better the outcome. It all begins with a simple, preventable issue and can progress to a serious condition if left untreated.
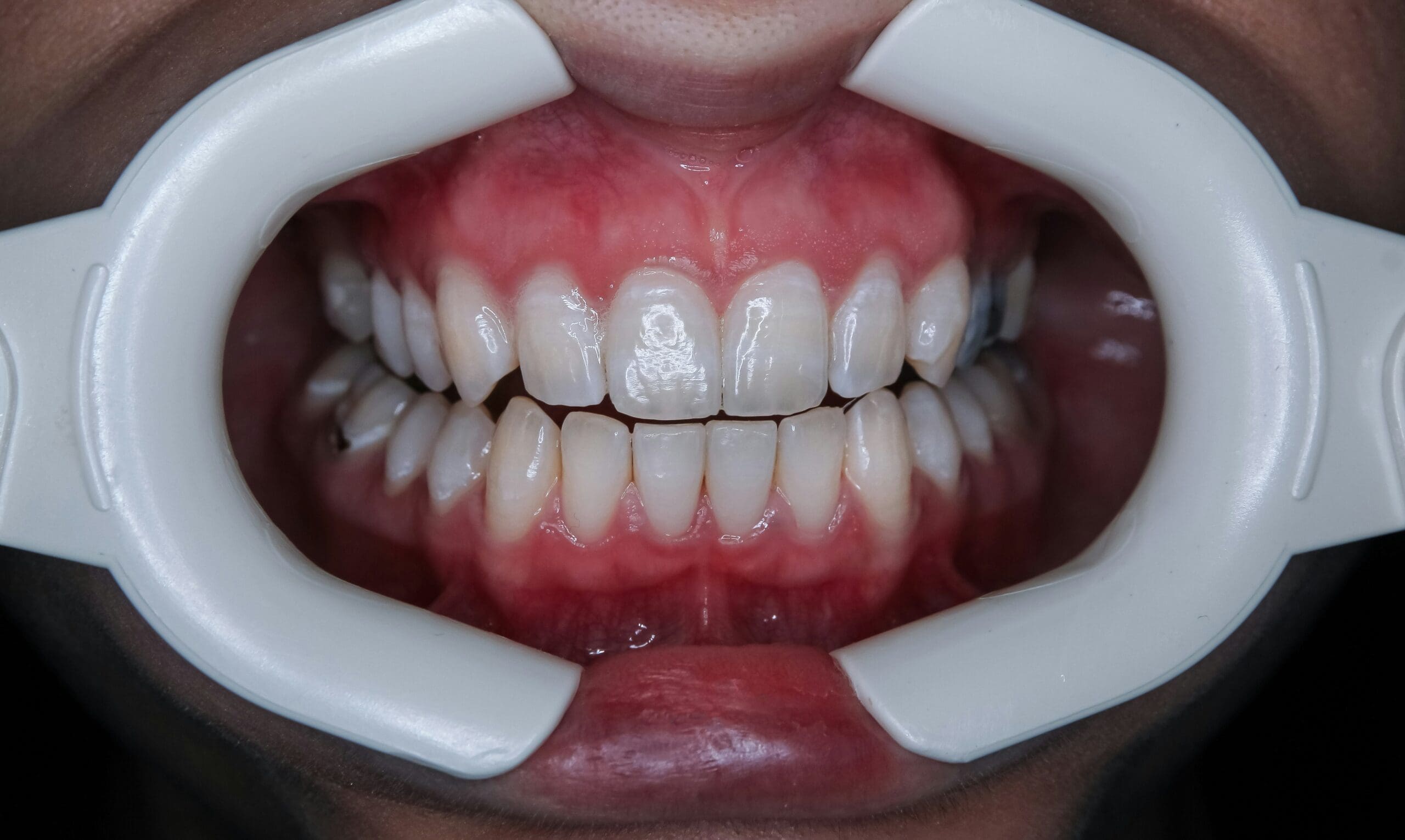
Stage 1: Gingivitis (The Early Warning Signs)
Gingivitis is the first and most common stage of gum disease. At this point, the infection is mild and has not yet affected the bone supporting your teeth. It is completely reversible with proper care.
What to look for:
- Red, Swollen, or Puffy Gums: Healthy gums should be firm and pink. If yours look red and inflamed, it’s a sign of irritation.
- Bleeding Gums: You may notice blood when you brush or floss. This is a clear indicator that something is wrong.
- Tenderness: Your gums may be tender or sensitive to the touch.
How we treat it: The key to reversing gingivitis is a professional dental cleaning, followed by a commitment to excellent at-home oral hygiene. A thorough cleaning removes the plaque and tartar that are causing the inflammation, and with consistent brushing and flossing, your gums can return to a healthy state.
Stage 2: Periodontitis (The Progression of Disease)
If gingivitis is not treated, it progresses to periodontitis. At this stage, the infection has moved beyond the gums and has begun to damage the bone and connective tissue that hold your teeth in place. This damage is irreversible, but we can manage the disease and prevent it from getting worse.
What to look for:
- Gum Recession: Your gums may start to pull away from your teeth, making your teeth appear longer.
- Pockets: The space between your teeth and gums deepens, creating “pockets” where bacteria can thrive and cause further destruction.
- Persistent Bad Breath: The bacteria in the pockets can cause a foul odor that doesn’t go away.
How we treat it: Treatment for periodontitis often involves a procedure called scaling and root planing, also known as a “deep cleaning.” This non-surgical procedure involves a thorough cleaning below the gumline to remove plaque and tartar from the pockets. I may also recommend laser-assisted periodontal surgery to help eliminate bacteria and promote healing.
Stage 3: Advanced Periodontitis (Severe Damage)
In the final and most severe stage, the infection has caused significant destruction of the bone and tissue. Your teeth may become loose, and you may experience pain while chewing.
What to look for:
- Loose or Shifting Teeth: As the supporting bone is lost, your teeth may become mobile.
- Change in Bite: Your teeth may shift, causing a change in how they fit together when you bite down.
- Tooth Loss: In the most severe cases, teeth may become so loose that they fall out or need to be extracted.
How we treat it: At this stage, we must take more aggressive measures to save your remaining teeth and jawbone. As a periodontist, I specialize in these advanced procedures, which may include:
- Flap Surgery: A procedure to access the deep pockets and thoroughly clean the root surfaces.
- Bone Grafting: We can use bone grafts to regenerate lost bone, which helps to stabilize teeth or prepare the jaw for dental implants.
- Soft Tissue Grafts: These are used to cover exposed roots or enhance the health of your gums.
Why Is Periodontal Health So Important?
As a periodontist, I believe that your gum health is the foundation of your entire smile. What many people don’t realize is that periodontal disease is also linked to other systemic health issues, including heart disease, diabetes, and respiratory problems.
Taking care of your gums is about more than just a beautiful smile—it’s about your overall well-being. If you are experiencing any of the symptoms mentioned above, please don’t hesitate to reach out to our office. Early intervention is the key to preventing irreversible damage. My team and I are here to provide the expert care you need to achieve and maintain a healthy, confident smile.





